Ortodoncia en Málaga
Ortodoncistas expertos en tratamientos de última generación para una sonrisa perfectamente alineada.
Si notas apiñamiento, problemas de mordida o incomodidad al masticar, la ortodoncia puede mejorar tanto tu sonrisa como tu bienestar diario. En Clínica Dental De la Plata, liderada por el Dr. Carlos de la Plata en el centro de Málaga, trabajamos con un flujo 100% digital y sin moldes para ofrecer tratamientos más cómodos y precisos.
Gracias a nuestra tecnología premium y planificaciones digitales, verás el resultado antes de empezar y reducirás tiempos en clínica. Si buscas un trato cercano y soluciones de calidad, estaremos encantados de orientarte y ayudarte a elegir el tratamiento más adecuado para ti.
¿Qué es y en que consiste la ortodoncia?
La ortodoncia es la rama de la odontología que nos ayuda a corregir dientes torcidos y problemas de mordida, encargándose de que tus dientes encajen bien entre sí y tu sonrisa sea cómoda y funcional en el día a día.
Mediante diferentes tipos de tratamientos ortodónticos, es posible alinear los dientes, mejorar la funcionalidad de la mordida y optimizar la estética de la sonrisa.
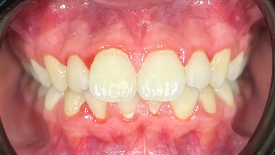
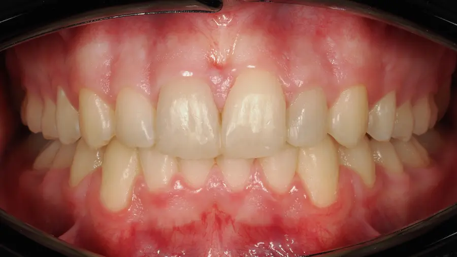
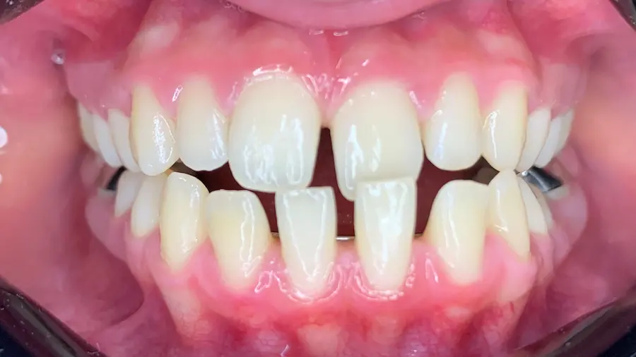
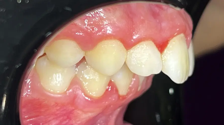
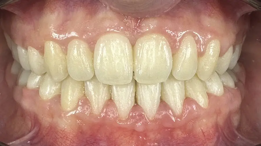
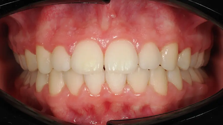
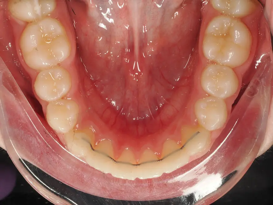
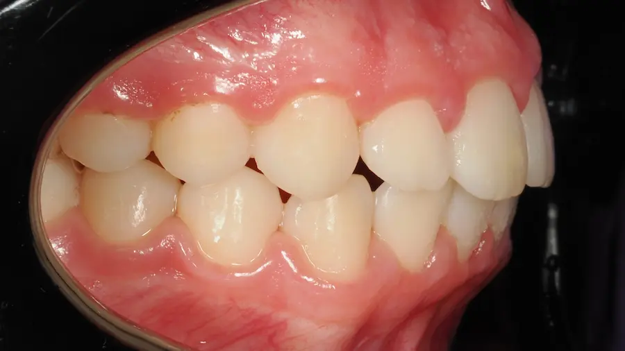
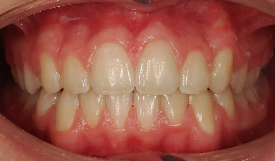
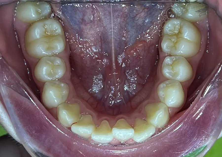
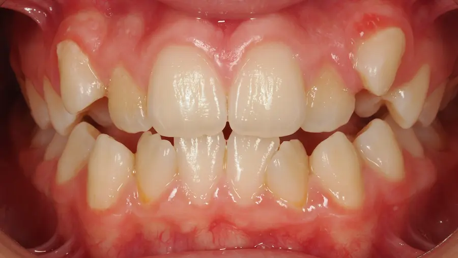
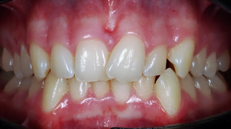
Casos de éxito de ortodoncia en De la Plata
Ortodoncistas con experiencia en Málaga centro
En la clínica serás atendido por el doctor Carlos de la Plata, especialista contrastado con formación y experiencia. aplicar el tratamiento de ortodoncia a niños y adultos. Apostamos por las mejores técnicas para que tu tratamiento de ortodoncia sea más cómodo y totalmente eficaz. El doctor Carlos de la Plata y su equipo preparan tu ortodoncia sin moldes, con escaneo intraoral, usando materiales de la mejor calidad y con una planificación digital previa que te permitirá visualizar resultados antes incluso de comenzar el proceso.
Tipos de ortodoncia que aplicamos en De la Plata
Ortodoncia invisible
Si quieres alinear tu sonrisa sin que nadie note que llevas ortodoncia, la ortodoncia invisible puede encajar contigo. Con alineadores transparentes y removibles, podrás corregir apiñamientos, diastemas o problemas de mordida sin brackets ni alambres, manteniendo una imagen natural en tu día a día.
Escaneamos tu boca con tecnología digital (sin moldes de pasta) y podrás ver una simulación del resultado antes de empezar. Requiere constancia en su uso diario, pero a cambio disfrutarás de un tratamiento cómodo, estético y que no condiciona tu vida social ni profesional.
Además, al poder quitártelos para comer y cepillarte, mantendrás tu higiene con facilidad y sin los roces o llagas típicos de los brackets. Si valoras la estética, la comodidad y un proceso más flexible, esta opción puede ser justo lo que necesitas.
Brackets estéticos
Encuentra el equilibrio entre alinear tus dientes con un sistema fijo y la discrección que no te ofrecen los brackets metálicos. Los brackets de zafiro o cerámicos se integran con el color del diente, por lo que resultan visualmente más naturales y elegantes durante el tratamiento.
La estética y control que ofrecen combinados con nuestra metodología de planificación digital previa te permitirán seguir un tratamiento eficaz.
Si te preocupa la estética pero prefieres un sistema fijo, esta alternativa puede encajar perfectamente contigo.
Ortopedia dental
¿Preocupado por la mordida, la asimetría facial o la respiración por la boca de tu hijo? En Clínica Dental De la Plata trabajamos la ortodoncia infantil / ortopedia pediátrica desde los 6 años para guiar el crecimiento óseo con expansores palatinos, férulas funcionales y activadores, corrigiendo mordida cruzada y malos hábitos antes de que requieran cirugía.
Con diagnóstico y seguimiento digital, planificamos intervenciones tempranas y predecibles; exige revisiones periódicas, pero eso se traduce en resultados más estables y menos tratamientos invasivos en el futuro. ¿Quieres una valoración orientativa para tu hijo sobre expansión palatina, aparatos infantiles o problemas respiratorios? Contacta y te explicamos las opciones.
Brackets metálicos
Los brackets metálicos son la opción clásica cuando lo que buscas es un tratamiento fiable y con control total sobre el movimiento dental. Permiten corregir desde apiñamientos comunes hasta maloclusiones más complejas, ajustando cada diente con precisión para conseguir una mordida y una sonrisa funcionales.
Son resistentes, económicos y ofrecen posibilidades de personalización (ligaduras de colores para niños y adolescentes). En Clínica Dental De la Plata combinamos esa eficacia con planificación digital y revisiones periódicas para que el proceso sea más previsible y cómodo. Si quieres saber si son la mejor opción para ti o tu hijo, pide una valoración y te lo explicamos sin compromiso.
¿Por qué elegirnos como tú clínica de ortodoncia en Málaga?
Diagnóstico preciso en ortodoncia
Realizamos un estudio completo de tu mordida y alineación dental, ofreciéndote un plan de ortodoncia claro y adaptado a tus necesidades.
Tecnología digital de vanguardia
Contamos con equipos de última generación que permiten tratamientos de ortodoncia más predecibles, seguros y estéticos.
Materiales de máxima calidad
Utilizamos brackets, alineadores y accesorios de primera calidad que aseguran resultados eficaces y duraderos en tu tratamiento.
Tratamientos personalizados y conservadores
Diseñamos planes de ortodoncia que corrigen tu sonrisa preservando la salud de tus dientes naturales al máximo.
¿Por qué puede variar el precio de un tratamiento de ortodoncia?
En De la Plata Dental, ofrecemos planes de financiación a medida para que puedas acceder a tu tratamiento de ortodoncia sin preocupaciones.
Tipo de técnica
El precio de un tratamiento de ortodoncia varía en función del tipo de sistema utilizado y las necesidades específicas de cada paciente. Hay diferentes alternativas, y en De la Plata Dental contamos con todas ellas (ortodoncia invisible, brackets estéticos y metálicos, ortopedia, etc.)
Duración del tratamiento
Depende en gran medida del grado de maloclusión y la alineación dental de cada paciente. La técnica ortodóntica seleccionada también influirá en el tiempo, ya que alineadores o brackets pueden requerir un período diferente de tratamiento.
Materiales utilizados
Las opciones más avanzadas, como la ortodoncia invisible, emplean alineadores transparentes personalizados, suelen tener un coste más elevado debido a la planificación digital, la fabricación y la personalización que requieren.
En contraste, los brackets tradicionales, aunque más económicos, utilizan materiales como metal o cerámica, los cuales son más accesibles pero con una estética y comodidad diferentes. La elección del material dependerá de las preferencias del paciente, su presupuesto y las recomendaciones del ortodoncista según sus necesidades específicas.
¿Qué opinan de nosotros cómo ortodoncistas en Málaga?
Estas son las opiniones de los pacientes que confiaron en nuestras manos su tratamiento dental, entre ellos de ortodoncia. Da el paso y supera tus expectativas con De la Plata dental.
Preguntas frecuentes sobre ortodoncia
Si ya tengo ortodoncia, ¿Puedo continuar con mi tratamiento con otros dentista?
Sí, podemos evaluar tu caso y continuar tu tratamiento sin porblemas.
¿Cuáles son las diferencias entre la ortodoncia invisible y tradicional?
Invisalign es un tratamientoo más estético y cómodo, mientras que los brackets son una opción más económica y efectiva en casos complejos.
¿Duele un tratamiento de ortodoncia?
El tratamiento puede causar leves molestias los primeros días tras los ajustes, pero totalmente soportable.
¿Cuáles son las causas del mal posicionamiento de los dientes?
Pueden ser hereditarias o adquiridas por hábitos como la succión del pulgar, pérdida prematura de dientes o problemas en el desarrollo óseo.
¿Cómo limpio mi ortodoncia?
Con un cepillo especial, hilo dental y enjuague bucal para evitar acumulación de placa.
¿Me afectará a la vocalización?
Al inicio puede haber un leve proceso de adaptación, algo que en cuestión de días desaparece.
¿Dónde está nuestra clínica en Málaga?
Nos encontramos en una ubicación privilegiada en el centro de Málaga, con fácil acceso en transporte público y estacionamiento cercano.
¡Agenda tu cita en De la Plata Dental y comienza tu transformación hoy mismo!
¡Agenda tu cita de ortodoncia
en De la Plata Dental!
Si tienes problemas de alineación dental o molestias relacionadas con tu mordida, en De la Plata Dental estamos listos para ayudarte con un tratamiento de ortodoncia personalizado.
¡Contáctanos y consigue la sonrisa que siempre has deseado!
