Odontología
Conservadora
Protege tu sonrisa
con De La Plata Dental
En De la Plata Dental, somos especialistas en odontología conservadora en Málaga, ofreciendo tratamientos diseñados para preservar la salud de tus dientes y evitar extracciones innecesarias.
Mediante técnicas avanzadas y materiales de última generación, restauramos la funcionalidad y estética de tu sonrisa.
Especialistas en empastes en Málaga
Los empastes dentales son una de las soluciones más utilizadas en odontología conservadora para tratar caries y pequeñas fracturas dentales.
En De la Plata Dental, realizamos empastes con materiales de alta calidad, garantizando restauraciones duraderas y estéticamente naturales.
Empastes de amalgama
Son empastes metálicos compuestos por una aleación de mercurio, plata, estaño y cobre. Son altamente resistentes y se utilizan en molares debido a su durabilidad.
Empastes de resina compuesta
Estos empastes se elaboran con un material del color del diente, ofreciendo una solución estética ideal para restauraciones en dientes visibles.
Empastes de porcelana
Son altamente estéticos y resistentes, perfectos para pacientes que buscan restauraciones discretas y duraderas.
¿Cómo saber qué tipo de empaste usar?
La elección del tipo de empaste adecuado depende de varios factores específicos. Aunque existen diferentes materiales como los ya mencionados, la decisión sobre cuál utilizar se basa en la evaluación detallada del tamaño y la ubicación de la caries o fractura.
En esta etapa, es importante considerar otros aspectos que influirán en la elección. Factores como la durabilidad, la estética y las necesidades del paciente son determinantes.
Los factores clave que debes tener en cuenta para saber qué tipo de empaste es el más adecuado para ti, asegurando que tu restauración dental sea no solo funcional, sino también estética y duradera.
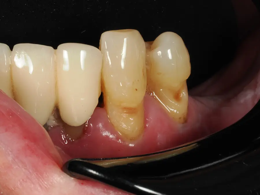
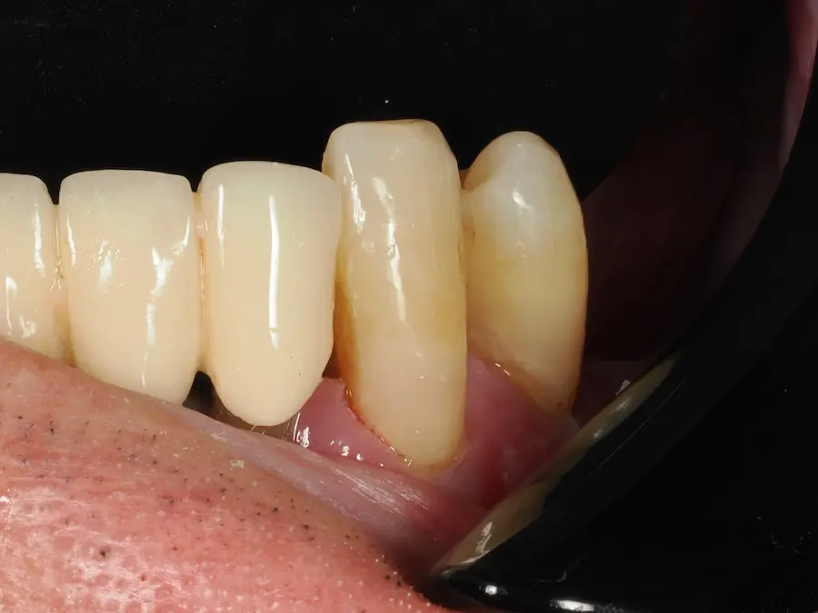
Casos de éxito de odontología conservadora en De la Plata

Ubicación del dientes afectado

Tamaño de la caries o fractura

Preferencias estéticas del paciente

Durabilidad y resistencia necesaria
Utilizamos los materialesmás avanzados para tus empastes
Nos comprometemos a utilizar materiales de alta calidad y biocompatibles, garantizando que cada restauración sea segura, duradera y estéticamente impecable.
Los materiales que seleccionamos no solo están diseñados para adaptarse perfectamente a la anatomía dental, sino que también respetan la salud general del paciente, minimizando cualquier riesgo de reacciones adversas.
En De la Plata Dental, incorporamos tecnología digital de vanguardia en nuestros tratamientos, lo que nos permite obtener resultados más precisos, eficientes y confortables para nuestros pacientes.
¿Qué es un empaste dental?
Es un tratamiento en el que se elimina la parte afectada del diente y se rellena con un material restaurador para devolverle su forma y función.
¿Cuánto tiempo duran los empastes?
Dependiendo del material y el cuidado dental del paciente, pueden durar entre 5 y 15 años.
¿Los empastes de amalgama son seguros?
Sí, aunque actualmente se prefieren materiales más estéticos como la resina compuesta o la porcelana.
¿Duelen los empastes dentales?
No, el procedimiento se realiza bajo anestesia local para garantizar la comodidad del paciente.
¿Cómo se si necesito un empaste dental?
Si tienes sensibilidad, dolor o una cavidad visible en el diente, es importante acudir al dentista para evaluar la necesidad de un empaste.
Agenda tu cita odontológica en De La Plata Dental
Si buscas un tratamiento de odontología conservadora en Málaga, en De la Plata Dental te ofrecemos soluciones avanzadas para mantener tu sonrisa sana y fuerte. ¡Agenda tu consulta hoy mismo!
