Blanqueamiento dental en Málaga
Descubre nuestro blanqueamiento con la tecnología Philips Zoom
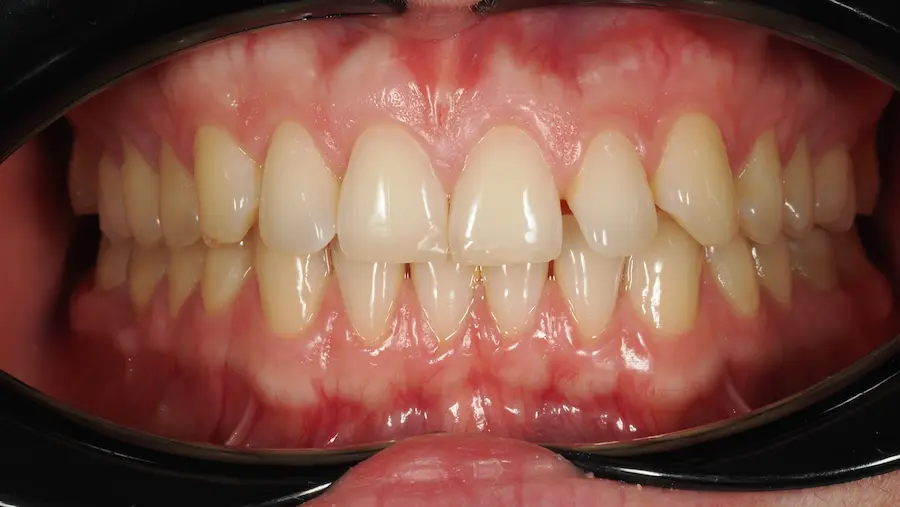
¿Te imaginas lucir una sonrisa más blanca y radiante en solo una sesión? En nuestra clínica dental en Málaga centro, te ofrecemos tratamientos de blanqueamiento dental seguros, eficaces y con resultados visibles desde el primer día. Aplicamos las mejores técnicas, con nuestro tratamiento de última generación Philips Zoom: rápido, resultados visibles en una sola sesión y aclarando hasta 8 tonos tus dientes.
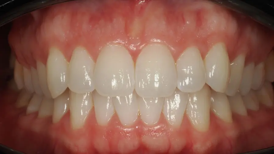
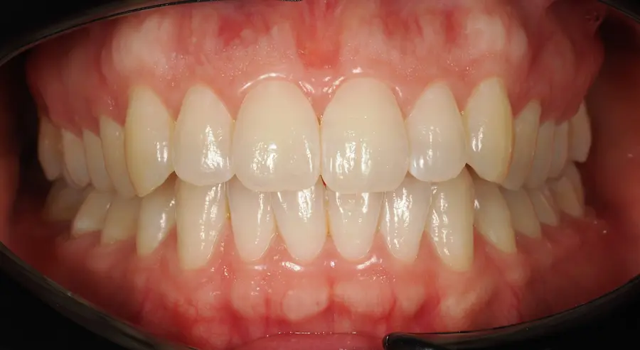
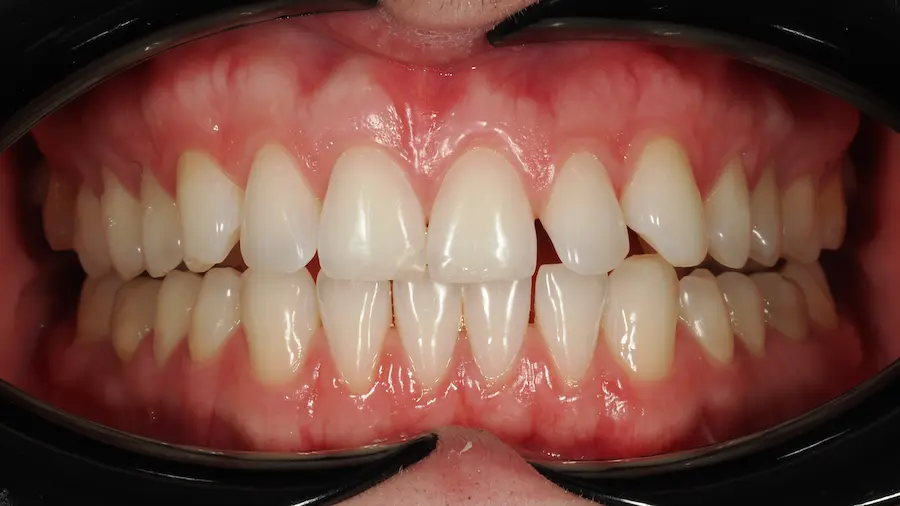
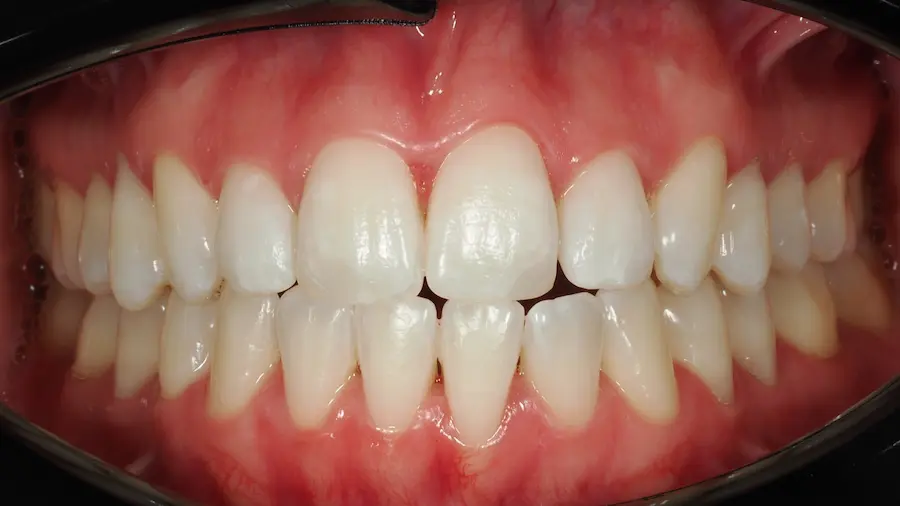
Casos de éxito de blanqueamiento en De la Plata
¿En qué consiste un blanqueamiento dental?
El blanqueamiento dental es un tratamiento estético que busca eliminar manchas y aclarar varios tonos el color natural de los dientes. Utilizamos geles específicos que actúan sobre el esmalte dental, devolviéndole su brillo y blancura.
Este procedimiento es ideal para combatir la tinción provocada por el café, té, vino, tabaco o el paso del tiempo.
Procedimiento y paso a paso

Evaluación inicial y diagnóstico
Revisamos tu salud oral, determinamos el tono inicial y el objetivo deseado.

Limpieza dental previa al tratamiento
Eliminamos sarro y placa para garantizar una acción óptima del agente blanqueador.

Aplicación del agente blanqueador
Protegemos tus encías y aplicamos el gel sobre los dientes, activándolo con luz LED si es necesario.

Recomendaciones post-tratamiento
Te explicamos cómo cuidar tus dientes para mantener los resultados por más tiempo.
Tipos de blanqueamiento dental

Blanqueamiento en clínica con luz LED o láser: Philips Zoom
Aplicamos un gel blanqueador y lo activamos con luz LED, logrando aclarar hasta 8 tonos en una sola visita.

Blanqueamiento ambulatorio con férulas personalizadas
Te entregamos férulas a medida junto a un kit de gel blanqueador para usar cómodamente en casa.

Combinación de tratamientos
Para resultados más duraderos, combinamos ambas técnicas: tratamiento en clínica + refuerzo en casa.
Especialistas en blanqueamiento dental con Philips Zoom
En la clínica te atenderá Carlos de la Plata, odontólogo con formación y experiencia contrastada en tratamientos de estética dental, cómo el blanqueamiento, y su equipo. En la clínica encontrarás las últimas tecnologías y técnicas aplicadas al tratamiento de blanqueamiento dental, como el uso de la tecnología Philips Zoom, que ofrece merjores resultados en menos tiempo y con mayor seguridad, aclarando hasta 8 tonos el blanco de tus dientes
Ventajas del blanqueamiento dental

Mejora estética inmediata
Tu sonrisa luce visiblemente más blanca tras la primera sesión.

Aumento de la confianza y autoestima
Una sonrisa más brillante te ayuda a sentirte más seguro en tu día a día.

Procedimiento no invasivo y seguro
El tratamiento es indoloro y respetuoso con la estructura dental.
Preguntas frecuentes sobre el blanqueamiento dental
¿Quién puede realizarse un tratamiento de blanqueamiento dental?
- Personas mayores de 18 años con buena salud bucodental.
- Pacientes que no presentan caries ni enfermedad periodontal activa.
- Personas con tinciones externas o envejecimiento natural del diente.
Antes de comenzar, realizamos una valoración personalizada para asegurarnos de que es el tratamiento adecuado para ti.
Cuidados y recomendaciones después del blanqueamiento
- Evita durante 48h alimentos y bebidas con pigmentos (vino tinto, café, etc.).
- No fumes en los días posteriores al tratamiento.
- Mantén una buena higiene bucal.
- Realiza mantenimientos si lo aconseja tu dentista.
¿Es doloroso el tratamiento?
No, aunque es posible que experimentes una leve sensibilidad temporal.
¿Cuánto tiempo duran los resultados?
Entre 1 y 3 años, dependiendo de tus hábitos y cuidados.
¿Puede causar sensibilidad dental?
Puede haber sensibilidad leve, que desaparece en pocas horas o días. Usamos geles de última generación para reducirla.
¿Es seguro para todos los pacientes?
Sí, siempre y cuando sea supervisado por un dentista. No está indicado para embarazadas o menores de edad.
¡Agenda tu blanqueamiento en De la Plata Dental!
Reserva ahora tu valoración sin compromiso. Estamos en el centro de Málaga, muy cerca de ti.
¡Tu nueva sonrisa comienza hoy!
